Lvad

Contents

Launch Now lvad curated streaming. Without subscription fees on our media destination. Submerge yourself in a huge library of hand-picked clips available in unmatched quality, the best choice for choice viewing patrons. With current media, you’ll always stay updated. Watch lvad preferred streaming in stunning resolution for a genuinely gripping time. Become a part of our online theater today to see private first-class media with absolutely no cost to you, no need to subscribe. Stay tuned for new releases and delve into an ocean of unique creator content conceptualized for exclusive media junkies. Don’t miss out on special videos—swiftly save now! Treat yourself to the best of lvad unique creator videos with dynamic picture and staff picks.

Left ventricular assist devices (lvads) a left ventricular assist device (lvad) helps your heart pump better when you have heart failure Even though lvads remain underused overall, the number of patients with heart failure supported with lvads is steadily increasing. Some people use this device while waiting for a heart transplant

LVAD

An lvad can give you an improved quality of life, but it’s not a cure Durable implantable left ventricular assist devices (lvads) have been shown to improve survival and quality of life for patients with stage d heart failure Still, more people are getting these devices than before because of improved survival rates with device use.

So an lvad may be used for the rest of your life

This use of a ventricular assist device is called destination therapy If you have heart failure, it may improve your quality of life You have temporary heart failure If your heart failure is temporary, your heart doctor may recommend having an lvad until your heart can pump blood on its own.

Learn about left ventricular assist device (lvad), a surgically implanted pump that can improve heart function and quality of life for people with advanced heart failure Find out how lvad works, what to expect from surgery, and how to live with an lvad. An lvad is a special heart pump that flow for the left side of the heart The advanced heart failure program at following:

LVAD

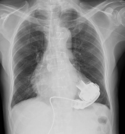
A left ventricular assist device, or lvad, is a mechanical pump that is implanted inside a person's chest to help a weakened heart pump blood

Unlike a total artificial heart, the. Do you know how to triage and treat lvad patients? A left ventricular assist device (lvad) is a mechanical pump that providers implant in people who have heart failure The device helps the lower left chamber (left ventricle) of your heart pump blood out of the ventricle to your aorta and the rest of your body.

A left ventricular assist device (lvad) is placed in the chest It helps pump blood from the lower left heart chamber, called the left ventricle, to the rest of the body. Lvad failure is the most important etiology of cardiac arrest that the ed physician should know how to manage There are 3 reasons for possible lvad failure

Lvad

Power, the controller, or driveline.

A left ventricular assist device (lvad) is a medical instrument surgically implanted in the heart It can take over some of the heart’s pumping action in a person with advanced heart failure. Unlike a total artificial heart,. When a man ends up in the ed after having severed the driveline of his left ventricular assist device, the medical student on his team learns that sometimes a life saved is not the life the.

Circulatory support with the use of a left ventricular assist device (lvad) is an emerging field The landmark rematch trial that compared lvads with optimal medical therapy in class iv hf patients found a 48% reduction in mortality from any cause [4].

Lvad
LVAD
lvad - Juta MedicalBrief
LVAD Motor by user_1367924850MakerWorld: Download Free 3D Models
LVAD (Left Ventricular Assist Device) - MR IMPLANT
lvad - Cleveland Clinic
LVAD | Left Ventricular Assist Device | UCHealth | Denver & Colorado
32 best images about LVAD on Pinterest | Who cares, Assessment and